Dentistry Buhl

Today's Dental Care

Dentistry Buhl
Dental Excellence Begins Here

Address
529 Broadway Ave S
Place
Buhl, ID   83316 
Landline
(208) 543-6511
E-Mail
tdcbuhl@gmail.com
Facebook
TodaysDentalCareBuhlIdaho
Website
www.todaysdentalcarejerome.com
Reservations
www.todaysdentalcarejerome.com

Description

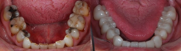
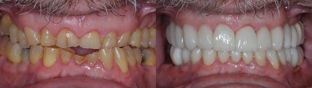
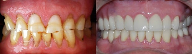
At Today’s Dental Care, patients are welcomed into a warm and family-focused environment where advanced expertise is paired with genuine compassion. Serving the communities of Buhl, Jerome, Wendell, and Gooding, Drs. Wyatt, Funk, and Peterson provide a full range of services including preventive care, restorative treatments, cosmetic dentistry, clear aligners, implants, same day crowns, sedation, laser therapy, TMJ and migraine therapy, and emergency care. With modern technology, an in-house lab, and a caring multilingual team, every visit is designed for comfort, precision, and lasting confidence in your smile.

Keywords Dentist in Buhl, ID, Buhl Dental Implants, Cosmetic Dentistry Buhl, Dental Exams Buhl, Restorative Dentistry Buhl, Dental Veneers Buhl, Dental Crowns Buhl, Dental Cleanings Buhl, Dentist Near Me Buhl, Root Canal Therapy Buhl, TMJ Therapy Buhl, Sleep Apnea Treatment Buhl, Breathing Airway Solutions Buhl, Teeth Whitening Buhl, Cosmetic Dentist Buhl, All-on-4 Dental Implants Buhl, Periodontal Therapy Buhl, Same-Day Crowns Buhl, Emergency Dentist Buhl, Dentures Buhl, Tooth Extractions Buhl, Buhl Clear Aligners, Dentist in Buhl.

Reviews

This listing was not reviewed yet:

Opening hours

Payment Options

Cash , Check , Financing

Categories

Dentistry
(208)543-6511 (208)-543-6511 +12085436511

Map 529 Broadway Ave S

Loading map...